
A sudden toothache that lingers, gum swelling that refuses to go away or sensitivity that worsens over time these could be signs of something more serious than a simple cavity. One possible cause is a Dental Granuloma which is a condition often overlooked until pain becomes unbearable. Understanding its symptoms, causes and treatment can help prevent severe oral complications and preserve your natural teeth.
Let’s explore what exactly a Dental Granuloma is along with how it develops and the treatment methods experts recommend for lasting relief.
A Dental Granuloma is a chronic inflammatory lesion that forms at the tip of a tooth’s root typically as a response to persistent infection or irritation inside the tooth. It usually starts when bacteria invade the pulp to the innermost layer of the tooth that contains nerves and blood vessels.
Over time the body’s immune system tries to isolate the infection by forming a small mass of inflamed tissue around the root tip. This mass is called a granuloma. While small at first it can grow gradually and damage surrounding bone if left untreated.
In simpler terms a Dental Granuloma is your body’s way of containing an infection that originates from a dead or infected tooth pulp.
The difficult aspect of Dental Granuloma Symptoms is that they frequently evolve quietly. A large number of people do not feel any pain in the beginning and that is why regular dental visits to a reliable dental clinic in Chennai are very important for catching it early.
Some of the most common symptoms include:
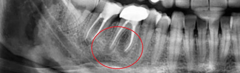
Sometimes, Dental Granuloma remains symptomless and is discovered only during an X-ray or routine dental visit.
A Dental Granuloma is a condition that has a gradual development. It is generally the consequence of a deep and long-lasting infection or dental decay that has not been properly treated. The most important Dental Granuloma Causes are to be known:

Once the decay has reached the dental pulp, bacteria can be introduced even deeper, thus infection and inflammation will result.
If the pulp gets inflamed or infected the tissue can even die (necrosis). The immune system sends a signal by forming a granuloma at the root tip.
A broken or cracked tooth can get the bacteria in the pulp and cause infection without decays that can be seen.
It is possible that after a root canal that is incomplete or improperly done then bacteria can still be there thus causing granuloma formation.
Non-brushing, plaque accumulation and gum disease lead to chronic infections that usually spread to the tooth roots.
It is only by neglecting these root causes that the infection gets worse and may even result in bone loss or dental cyst or abscess formation.
Diagnosis of a Dental Granuloma requires a careful clinical and radiographic examination by an experienced dentist.
Here’s how it is typically identified:
At a trusted dental hospital in Chennai advanced imaging and precision diagnostics are used to detect even small granulomas early ensuring the right treatment approach.
Treatment for a Dental Granuloma aims to remove infection, eliminate inflammation and preserve as much natural tooth structure as possible. Depending on the condition’s severity your dentist may suggest one of the following:
Root Canal Therapy is the most common and effective solution.
In most cases, RCT alone is enough to completely heal the granuloma without surgical intervention.
If the infection persists after a root canal your dentist might recommend a minor surgical procedure called Apicoectomy.
Apicoectomy is usually a last-resort treatment when conventional root canal therapy fails.
In extreme situations of severe damage to the tooth structure and where the tooth cannot be saved, removal of the tooth may be required. Subsequently, restoration of the lost tooth with a dental implant or bridge can help regain the function and appearance.
Granulomas are not curable with antibiotics only, however, they might be given to breathe control of the infection and the swelling prior to the main treatment.
If you don’t take care of a dental granuloma, it can result in a pretty nasty situation for your oral health. The infection that causes it can travel to the tissues close by, causing abscesses or cysts, and invading your jawbone.
Prompt treatment prevents:
Timely diagnosis and treatment from professionals at Radiant Dental Care ensure safe also effective and lasting recovery.
Recovery after the treatment is dependent on the method used and the intensity of the infection. On average a majority of people will feel better within a few days after undergoing root canal therapy.
Consistent care and timely follow-ups help restore the tooth’s function and maintain overall oral health.
While not always avoidable the risk of developing a granuloma can be significantly reduced through proactive dental care:
A little attention to oral hygiene and regular visits to your dentist can make a big difference in preventing chronic dental infections.
A Dental Granuloma may develop quietly but if it is not treated, it can become a source of considerable pain and leave a trail of destruction. Identifying first Dental Granuloma Symptoms, knowing its causes, and how to get treated will not only keep your tooth intact but will also save you from the inconvenience of dental problems later on.
Visit a well-equipped dental clinic in Chennai and get professional help just in time and it will be like a miracle cure!. Radiant Dental Care with skilled professionals and the latest equipment can locate the problem with accuracy and give you the most efficient dental granuloma treatment thus helping you come back to a healthy, beautiful smile, without pain.
Frequently Asked Questions
1. Can a dental granuloma heal on its own?
Answer: No, a dental granuloma is not capable of self-healing. Since it is a complication of infection, the removal of the source of infection through root canal or surgery is the only way.
Answer: It may initially not be painful. But, as the infection gets worse, you might experience continuous dull pain mainly when eating or touching the tooth.
Answer: Most of the time it is indeed the case. Endodontic therapy is the most efficient way to eliminate infection and keep recurrence at bay. A surgical intervention is suggested only in case of failure of the RCT.
Answer: A granuloma represents an old inflammatory process that is limited to the apex of the root whereas an abscess is a collection of pus that results from the spread of the infection.
Answer: It is very unlikely to be so when the treatment is done correctly and follow-up visits are not neglected. Dental check-ups enable the dentist to see the progress of the healing and to rule out the possibility of reinfection.